
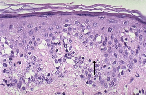
| The microscopic appearance of graft versus host disease (GVHD) demonstrates lymphocytic infiltrates and the dermal-epidermal junction with loss of the basal epidermis. This injury is a good example of apoptosis, or single cell necrosis, as shown by the pink degenerating keratinocyte just above the black arrow. |
![]() |