
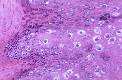
| At higher magnification, the vacuolization of nuclei with large basophilic granules of the epidermal cells (koilocytotic change) in this verruca vulgaris is seen, and indicates the viral origin of this lesion. One type of human papillomavirus (HPV) is associated with appearance of warts. |
![]() |