
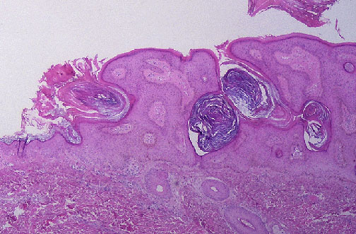
| Note how this seborrheic keratosis is formed of benign appearing squamous epithelium and how the lesion extends above the level of the surrounding epidermis seen at the left, giving it the raised appearance as though it were "stuck on" to the skin surface. |
![]() |