
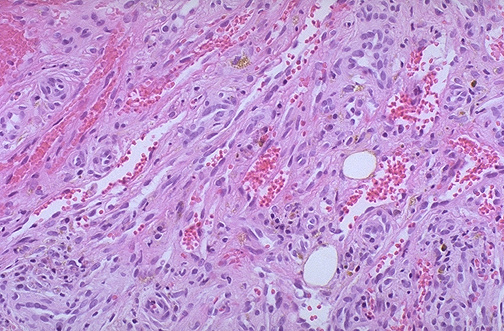
| At high power, Kaposi's sarcoma (KS) consists of pleomorphic spindle cells which line slit-like vascular spaces. Areas of hemorrhage are seen within the neoplasm. In patients with AIDS, KS has a high probability (75%) of also involving visceral organs such as lung or gastrointestinal tract. |
![]() |