
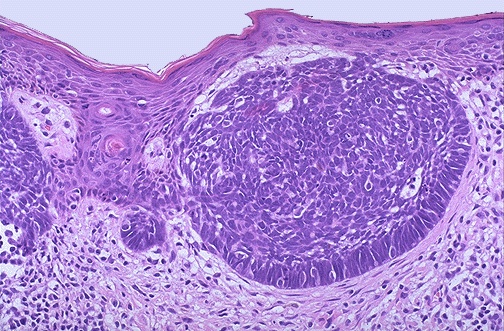
| Nests of basaloid cells are dropping off into the upper dermis in this example of a basal cell carcinoma of the skin. These neoplasms can be multifocal. They are slow growing but relentless. The problems they cause are related to local invasion. Metastases are quite rare. |
![]() |