
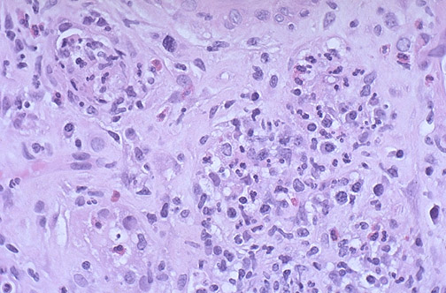
| In this case of drug-induced interstitial nephritis, there are some scattered eosinophils, along with neutrophils and mononuclear cells in the inflamed interstitium. The classic example of this occurs occasionally with methicillin, but can occur with a variety of drugs such as thiazide diuretics and the H2 blocker cimetidine. The immune mechanism may be either type I or type IV hypersensitivity. |
![]() |