
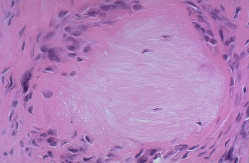
| Chronic urate nephropathy leads to deposition of uric acid crystals in the interstitium, forming tophi with surrounding foreign body inflammation, mononuclear cell infiltrates, and fibrosis. The long, needle-shaped crystals form the pale mass shown here at high magnification. Patients with hyperuricemia may also have nephrolithiasis with uric acid stones. |
![]() |