
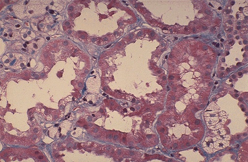
| This is a type of hereditary nephritis known as Alport syndrome in which patients may also manifest nerve deafness and eye problems. The renal tubular cells appear foamy because of the accumulation of neutral fats and mucopolysaccharides. The glomeruli show irregular thickening and splitting of basement membranes. |
![]() |