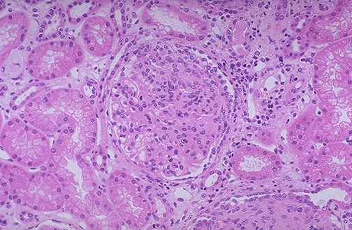
This is membranoproliferative glomerulonephritis (MPGN). Those cases that are idiopathic are divided into types I and II by pathologic findings. As seen here, the glomerulus has increased overall cellularity, mainly increased mesangial cellularity.