
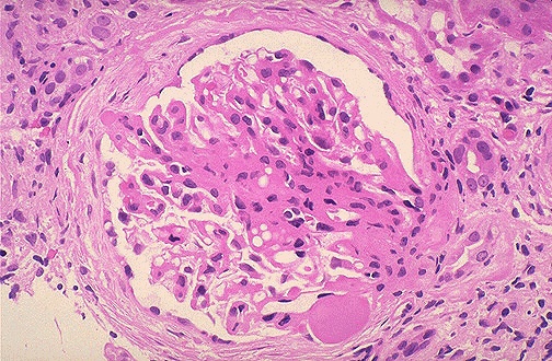
| This is focal segmental glomerulosclerosis (FSGS). An area of collagenous sclerosis runs across the middle of this glomerulus. In contrast to minimal change disease, patients with FSGS are more likely to have non-selective proteinuria, hematuria, progression to chronic renal failure, and poor response to corticosteroid therapy. |
![]() |