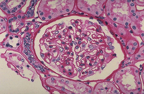
This normal glomerulus is stained with PAS to highlight basement membranes of glomerular capillary loops and tubular epithelium. The capillary loops of this normal glomerulus are well-defined and thin.