
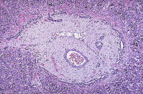
| You're right, this isn't kidney, but remember that autosomal recessive polycystic kidney disease also manifests with congenital hepatic fibrosis, as seen here in which a portal area is expanded with increased bile ducts radially arranged around the perimeter. The abnormal fibrocysin protein product of the mutated PKHD1 gene affects liver and pancreas as well as kidney. The many dark clusters of cells in the hepatic parenchyma are islands of extramedullary hematopoiesis typical for fetal liver. |
![]() |