
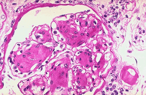
| This is a PAS stain of nodular glomerulosclerosis (Kimmelstiel-Wilson disease) in a patient with long-standing diabetes mellitus. Note also the markedly thickened arteriole at the lower right which is typical for the hyaline arteriolosclerosis that is seen in diabetic kidneys as well. |
![]() |