
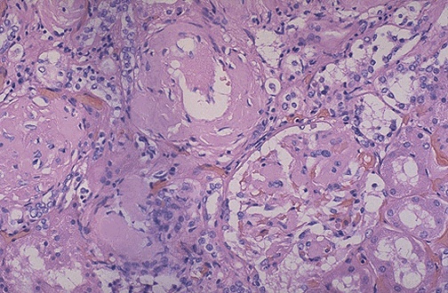
| The amorphous pink depositis of amyloid may be found in and around arteries, in interstitium, or in glomeruli, as seen here with H&E stain. A Congo red stain will demonstrate the pink material to be amyloid. Such collections of amyloid add to renal bulk, but diminish renal function. |
![]() |