
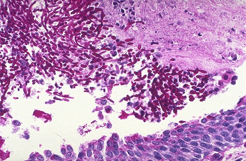
| This PAS stain of a renal papilla with a portion of transitional lining epithelium at the lower right demonstrates many budding cells and pseudohyphae of Candida albicans. Fungal urinary tract infections are much less common than bacterial infections, but both are likely to be ascending infections, having originated in the lower urinary tract, typically bladder. |
![]() |