
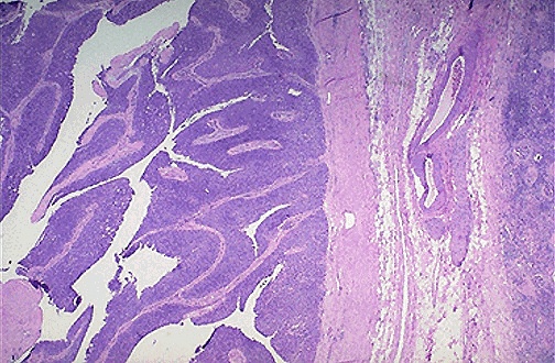
| A urothelial carcinoma of the urothelium is shown here at low power to reveal the frond-like papillary projections to the left of the tumor above the surface. It is differentiated enough to resemble urothelium, but it is producing a mass effect. No invasion to the right is seen at this point. |
![]() |