
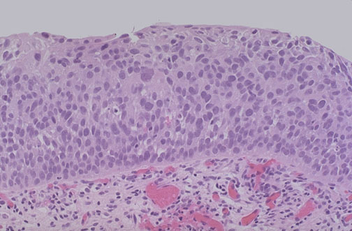
| The causative factors for urothelial carcinoma typically act upon the entire extent of the transitional epithelium in the urinary tract, and it is common for areas of neoplasia to arise multifocally. Seen here is urothelial carcinoma in situ. The abnormal cells are confined to the epithelium above the basement membrane. This area was present in a random bladder biopsy in a patient who also had a grossly visible lesion on cystoscopy. |
![]() |