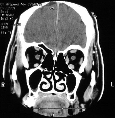
This is a normal sinus CT scan demonstrating structures in the orbit, including optic nerve and superior rectus muscle and superior oblique muscle and medial rectus muscle and inferior rectus and inferior oblique muscles and lateral rectus muscle in the anterior skull.

Next Image

Radiology Menu