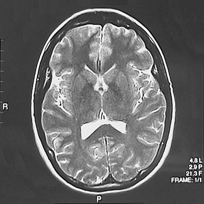
This is a normal axial T2 weighted MRI scan demonstrating the frontal lobe and parietal lobe and occipital lobe and splenium of corpus callosum and caudate and putamen and globus pallidus and thalamus and internal capsule.

Next MR Image

Radiology Menu