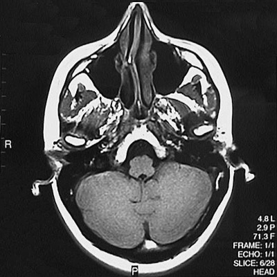
This is a normal axial T1 weighted MRI scan demonstrating the nasal septum and concha and maxillary sinus and sphenoid sinus and medulla and fourth ventricle and cerebellar hemisphere.

Next MR Image

Radiology Menu