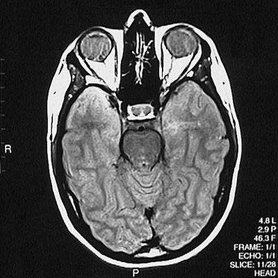
This is a normal axial proton density MRI scan demonstrating the temporal lobe and occipital lobe and basis pontis and aqueduct of Sylvius and cerebellar vermis and ethmoid sinus and pituitary and orbit.

Next MR Image

Radiology Menu