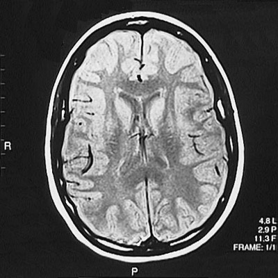
This is a normal axial proton density MRI scan demonstrating the frontal lobe and parietal lobe and genu of corpus callosum and splenium of corpus callosum and anterior horn of lateral ventricle and posterior horn of lateral ventricle and caudate and putamen and internal capsule and superior sagittal sinus.

Next MR Image

Radiology Menu