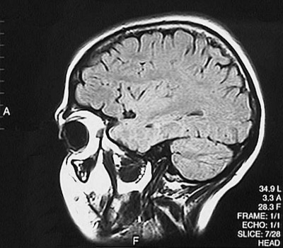
This is a normal sagittal FLAIR MRI scan demonstrating the view to the left of midline at the orbit with the frontal lobe and parietal lobe and occipital lobe and cerebellum and orbit and hippocampus.

Radiology Menu