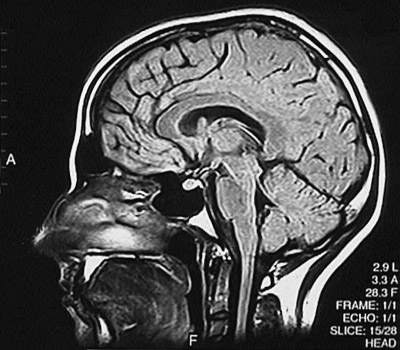
This is a normal sagittal FLAIR MRI scan demonstrating the midline with the frontal lobe and parietal lobe and occipital lobe and cerebellum and genu of corpus callosum and splenium of corpus callosum and mammillary body and thalmus and midbrain and pons and medulla and cervical spinal cord and tongue and nasal cavity.

Next MR Image

Radiology Menu