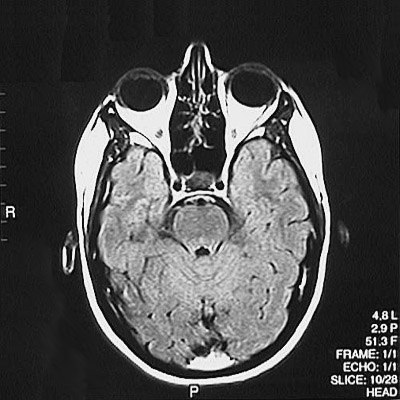
This is a normal axial FLAIR MRI scan demonstrating the temporal lobe and occipital lobe and basilar artery and internal carotid artery and basis pontis and aqueduct of Sylvius and cerebellar vermis and ethmoid sinus and pituitary and globe of eye and lens of eye.

Next MR Image

Radiology Menu