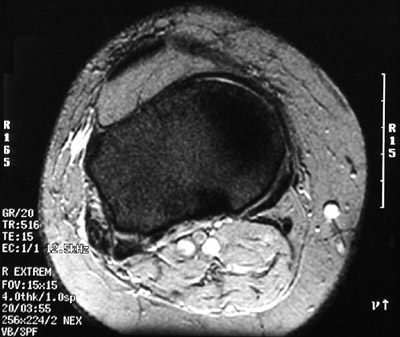
This is a normal axial MRI scan demonstrating the Patellar ligament and Infrapatellar fat pad and Tibial plateau and Subcutaneum and Sartorius and Great saphenous vein and Semitendinosus tendon and Small saphenous vein and Popliteal vessels and Gastrocnemius, medial head and Gastrocnemius, lateral head and Plantaris and Popliteus and Biceps femoris tendon and Iliotibial tract.

Next Image

Radiology Menu