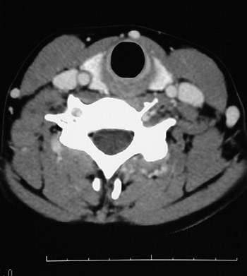
This is a normal axial head and neck CT scan demonstrating the thyroid gland and trachea and sternocleidomastoid muscle and external jugular vein and internal jugular vein and common carotid artery.

Radiology Menu