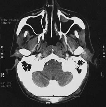
This is a normal axial head and neck CT scan demonstrating the nasal septum and nasopharynx and maxillary sinus and zygomatic arch and masseter muscle and posterior fossa of cranium and coronoid process of mandible and mandibular condyle and lateral pterygoid muscle and internal jugular vein and internal carotid artery and mastoid.

Next CT Image

Radiology Menu