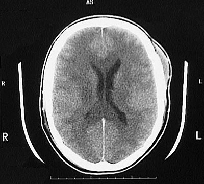
This is a normal head CT scan demonstrating the skull with the lateral ventricle and falx cerebri and frontal lobe and parietal lobe.

Next CT Image

Radiology Menu