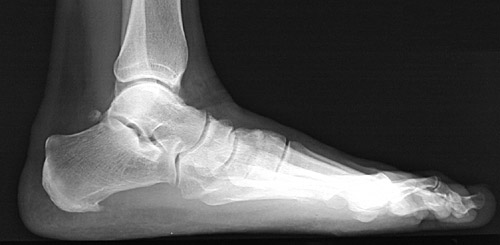
This is a lateral radiograph of the foot demonstrating the calcaneus and talus and navicular and cuboid and cuneiforms and metatarsals and phalanges.

Next Image

Radiology Menu