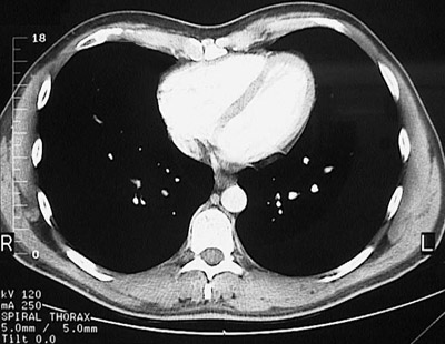
[T9] This is a normal chest CT scan demonstrating the right lung and left lung and pectoralis major muscle and right ventricle and interventricular septum and left ventricle and xyphoid process and descending aorta and azygous vein and esophagus and serratus anterior muscle and latissimus dorsi muscle and trapezius muscle and sacrospinalis muscle and transversospinal muscle in the upper chest.

Next CT Image

Radiology Menu