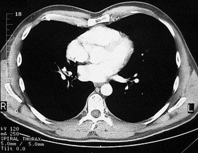
[T8] This is a normal chest CT scan demonstrating the right lung and left lung and pectoralis major muscle and right atrium and right ventricle and left atrium and left ventricle and aortic root and sternum and descending aorta and azygous vein and esophagus and serratus anterior muscle and latissimus dorsi muscle and scapula and rhomboid major muscle and trapezius muscle and sacrospinalis muscle and transversospinal muscle in the upper chest.

Next CT Image

Radiology Menu