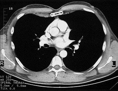
[T7] This is a normal chest CT scan demonstrating the right lung and left lung and pectoralis major muscle and right atrium and pulmonic trunk and right pulmonary artery and left pulmonary artery and left atrium and aortic root and sternum and descending aorta and azygous vein and esophagus and latissimus dorsi muscle and subscapularis muscle and spine of scapula and infraspinatus muscle and rhomboid major muscle and trapezius muscle and sacrospinalis muscle in the upper chest.

Next CT Image

Radiology Menu