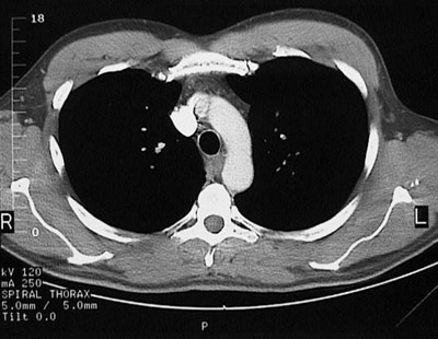
[T5] This is a normal chest CT scan demonstrating the right lung and left lung and pectoralis major muscle and pectoralis minor muscle and superior vena cava and aortic arch and manubrium of sternum and thymus and esophagus and trachea and subscapularis muscle and spine of scapula and infraspinatus muscle and trapezius muscle and rhomboid major & minor muscle and transversospinal muscle in the upper chest.

Next CT Image

Radiology Menu