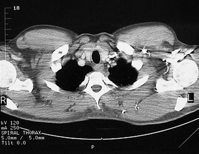
[T2] This is a normal chest CT scan demonstrating the right lung apex and left lung apex and pectoralis major muscle and sternocleidomastoid muscle and clavicle and internal jugular vein and internal carotid artery and right sublcavian artery and trachea and esophagus and scapula and head of humerus in the upper chest.

Next CT Image

Radiology Menu