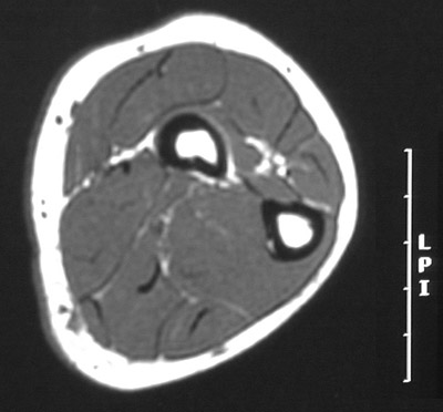
This is a normal axial T1 weighted MRI scan demonstrating the Radius, marrow cavity and Compact or cortical bone and Ulna and Abductor pollicis longus and Extensor carpi ulnaris and Extensor digitorum communis and Extensor carpi radialis brevis and Extensor carpi radialis longus and Supinator and Brachioradialis and Pronator teres and Flexor pollicis longus and Flexor carpi radialis and Palmaris longus and Flexor digitorum superficialis and Flexor carpi ulnaris and and Flexor digitorum profundus.

Next Image

Radiology Menu