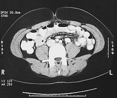
[L4] This is a normal abdominal CT scan with contrast demonstrating the abdomen with the ascending colon and descending colon and small intestine and inferior vena cava and right common iliac artery and left common iliac artery and right ureter and left ureter and psoas muscle and sacrospinalis muscle and multifidus muscle and external oblique muscle and internal oblique muscle and umbilicus .

Next CT Image

Radiology Menu