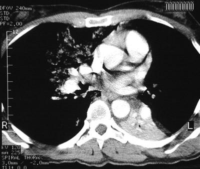
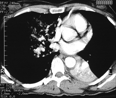
| These views above amd below from a chest CT scan reveal an aspiration pneumonia involving the right middle lobe. Note the ground glass opacifications and the bronchial hypodense material. In the view below is an area of left lower lobe consolidation from a prior aspiration followed by pneumonia. |
![]() |