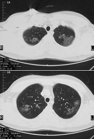
| These CT scan views in "lung window" reveal upper lobe patchy infiltrates in a patient who underwent bronchoalveolar lavage and was found to have Pneumocystis carinii (jirovecii) organisms present. This patient had presented with a three day history of fever, non-productive cough, and increasing dyspnea. |
![]() |