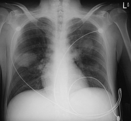
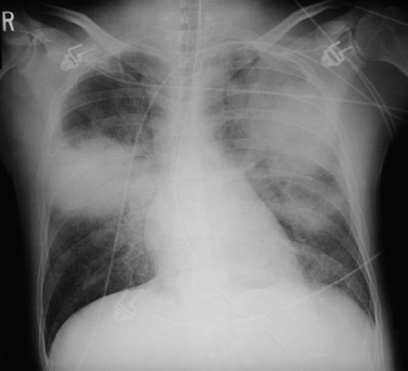
| This PA chest radiograph demonstrates extensive bilateral infiltrates made even more dense through hemorrhage from vascular damage by infection with Pseudomonas aeruginosa. The film below was taken only two hours after the one above, indicating how virulent this process can be. |
![]() |