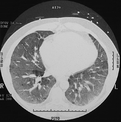
| Note the extensive "ground glass" opacification in the lung fields in this case of idiopathic pulmonary hemosiderosis in this chest CT scan. Note that this appearance could be seen with extensive pulmonary edema and/or hemorrhage as well. Note the septal thickening. |
![]() |