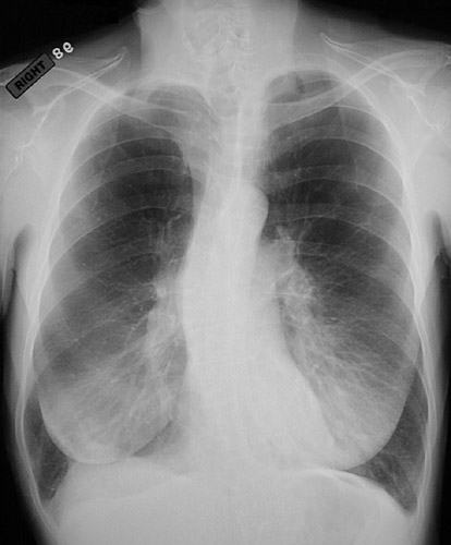
| The PA chest radiograph of this female patient above reveals severe centrilobular emphysema, most marked in upper and mid-lung fields with flattening of the diaphragms. The 10th pair of ribs is easily seen. (The curvature of the vertebral column represents thoracic scoliosis). A lateral view is shown below. |
![]() |