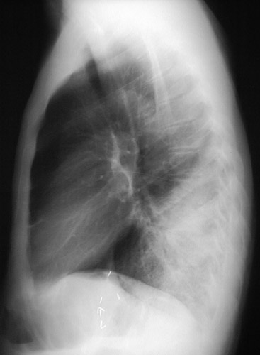
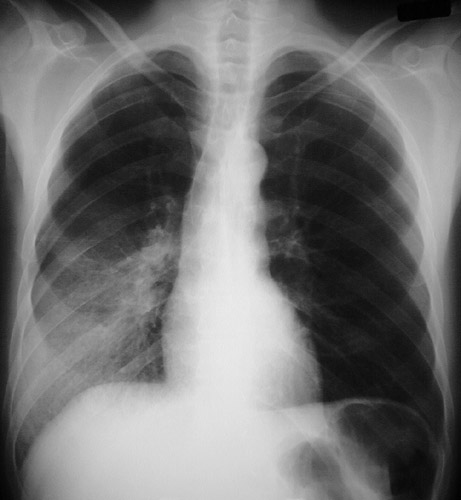
| The PA chest radiograph above demonstrates areas of opacification occupying the lower portion of the right lower lobe. The lateral view below reveals the infiltrates in this same area as well, consistent with a bronchopneumonia from a bacterial infection. (The bright vascular clips are from a previous abdominal surgery.) |
![]() |