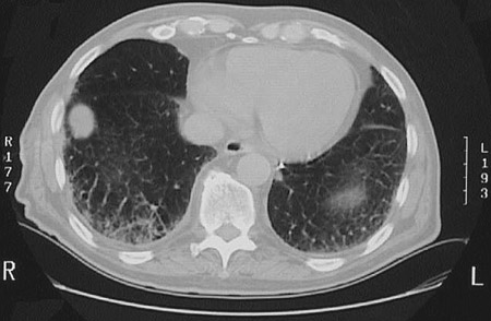
The CT scan of the chest at "lung window" density seen here demonstrates a peripheral right lung mass that proved to be an adenocarcinoma that was removed easily with a wedge resection.