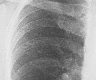
In the closer view shown here of a chest radiograph in a patient with progressive pulmonary fibrosis, the lace-like pattern is apparent.