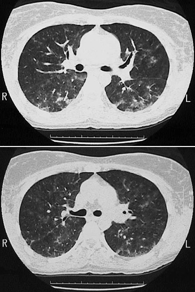
The chest CT scan views in "lung window" seen here demonstrate nodular ground glass opacifications in a patient with hypersensitivity pneumonitis.