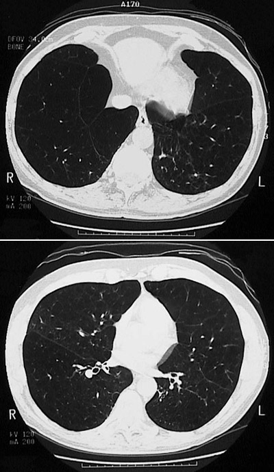
The chest CT scan views here in "lung window" demonstrate large lucencies with panlobular emphysema.