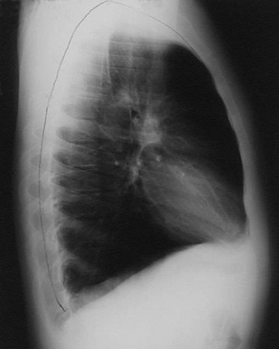
The chest radiograph in lateral view seen here demonstrates a marked increase in size of the chest cavity from emphysema. There is increased lucency due to the loss of lung parenchyma from emphysema