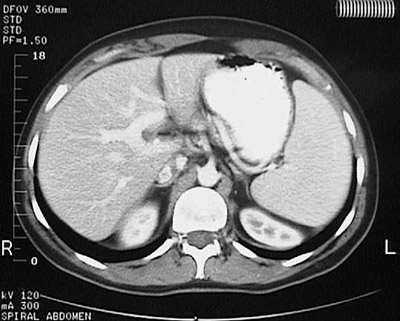
Here is another example of
splenomegaly
as seen with an abdominal CT scan. In this view, the spleen is quite large and extends down to the level of the
kidneys
.