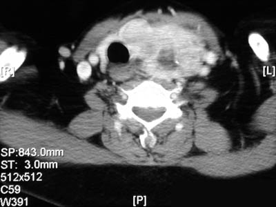
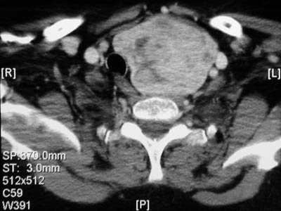
| The series of CT scans seen here demonstrate a large but asymmetric nodular goiter which involves the left lobe and produces marked displacement of the trachea to the right. In the views below, the goiter extends into the lower neck and down into the upper chest. Thus, a substernal location for a goiter is not impossible. |
![]() |